As life isn’t harsh enough living with Type-1 Diabetes, I’m sure I don’t need to remind everyone that Diabetes affects just about every system in the body. On Wednesday, I had a dental appointment. For the most part, I take pretty good care of my oral health. I brush every morning and evening and floss as often as I can. But even that can fall short of what’s required, depending on the circumstances. Since I changed jobs last year, I found myself without dental insurance for a period of time. And since I’m cheap to a fault, i refused to pay for dental visits until my new coverage kicked back in. I would regret that decision…

Since I hadn’t been to a dentist’s office in over a year and had taken no x-rays of my teeth in about five years, I accepted the full gamut. They took x-rays of my teeth and without even opening my mouth, the hygienist recognized that there would be some serious work to be done to remove all the plaque. I was in the chair for almost two hours while the hygienist scaled and cleaned my teeth. bear in mind that this was with an injured back and being in severe pain.
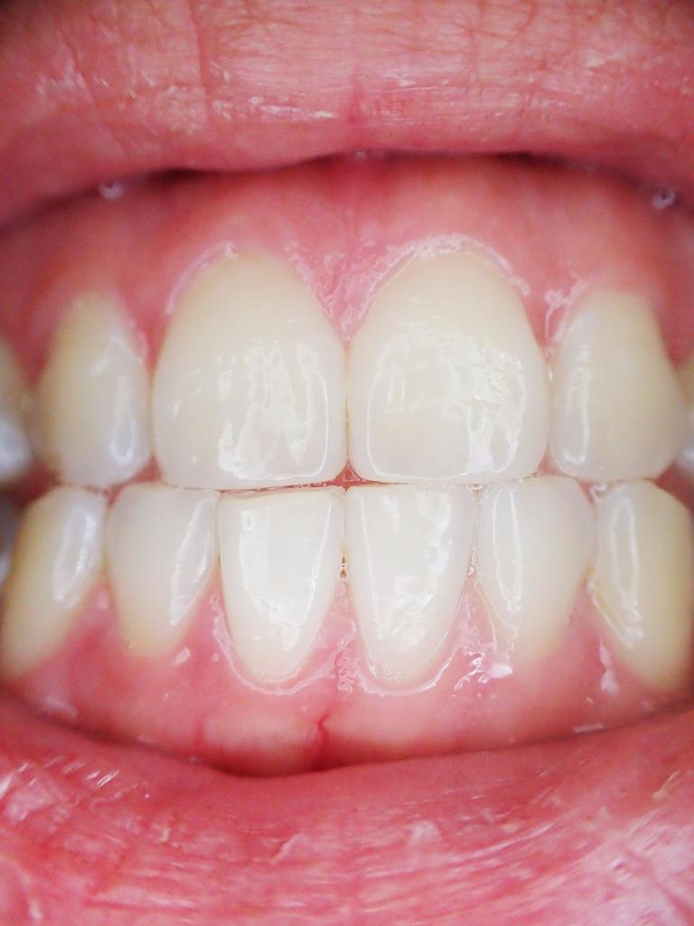
When the cleaning was done and the dentist came in to perform his examination, it was determined that I had receding gums over one of my bottom teeth. He issued a referral to a periodontist, which kind of pissed me off since he didn’t discuss it with me or ask if I wanted to be referred. It was until I was alone with the hygienist that she explained that they would assess the situation with my gums and any further action would totally be my choice. But based on how those procedures have been described to me and how painful they’re supposed to be, I’m kind of sceptical. I’ve had enough pain in my life…

Maintaining good oral hygiene is about far more than just preventing cavities or gum disease. Bad oral hygiene has been linked to heart disease, with bacteria and plaque making their way into the blood stream and causes all sorts of chaos. That same bacteria has been linked with respiratory problems, increased risk of infection and even erectile dysfunction. Makes you think twice about skipping that tooth brushing session, eh?
Cue the part where Diabetes comes in. Since Diabetes reduces the body’s resistance to infection, gum disease is more prominent among people with Diabetes. Lovely, eh? that same gum disease can also make it harder to control one’s blood sugar. I’ve never noticed an issue in that regard but it’s just one more thing to worry about. Honestly, the gums that are receding have been doing so for over 25 years. I’m doubtful that I’ll put myself through the pain and difficulty of grafting a cover. I’d rather have the tooth removed, if I’m being honest. Take care of your teeth, folks. You only get the one set (as an adult). ☯️
